- その他、整形外科疾患
【医師監修】骨軟化症と骨粗鬆症の違いとは|症状や診断基準の観点から詳しく解説
加齢や閉経をきっかけに「骨密度が低下している」と指摘され、不安を感じている方もいるのではないでしょうか。
骨が弱くなる病気には代表的なものとして「骨粗鬆症」と「骨軟化症」があります。これらは一見よく似ているものの、原因や症状、治療のアプローチは決して同じではありません。
自己判断で放置すると必要な治療が遅れる恐れがあるため、専門医の診断を受けることが大切です。
この記事では、骨軟化症と骨粗鬆症の違いと診断方法や治療・予防のポイントまで詳しく紹介します。「自分はどちらに当てはまるのか知りたい」「骨の状態を今より良くしたい」という方は、ぜひ参考にしてください。
当院「リペアセルクリニック」の公式LINEでは、再生医療の情報提供と簡易オンライン診断を実施しております。
骨軟化症や骨粗鬆症について気になる症状がある方は、ぜひ一度公式LINEにご登録ください。
目次
骨軟化症と骨粗鬆症における症状の違い
骨軟化症と骨粗鬆症はいずれも骨が弱くなる病気ですが、両者の特徴や症状には以下のような違いがあります。(文献1)(文献2)
| 骨軟化症 | 骨粗鬆症 | |
|---|---|---|
| 特徴 | 骨はつくられるものの、カルシウムがうまく沈着せず骨が柔らかくなる | 骨密度が低下する |
| 症状 | ・初期は無症状な場合が多い ・骨が痛む ・進行すると筋力低下や歩行障害が見られる |
・初期は無症状な場合が多い ・骨折しやすくなる ・背中が丸くなる ・身長が縮む |
早期対応につなげるために、まずは両疾患の特徴を整理しましょう。
骨軟化症|骨が柔らかくなる病気
骨軟化症とは、骨を硬くするカルシウムやリンが十分に沈着せず、骨が固まらない状態になる病気です。
骨量は保たれていても、石灰化が不十分なため、柔らかく変形しやすくなります。
主な原因は以下のとおりです。(文献1)
- ビタミンD不足
- 腸のトラブルによるリン吸収の低下
- 腎臓の働きが低下したことで起こる低リン血症
- FGF23(血中リン濃度を下げるホルモン)の過剰な働き
これらの影響で骨の石灰化に必要なミネラルが不足し、骨が十分に硬化しない状態になります。
その結果、全身の骨痛、筋力低下による歩行障害、骨折のしやすさなどの症状が現れます。放置すると日常生活に大きな影響が出るため、早めの受診と適切な治療が重要です。
骨粗鬆症|骨密度が低下になる病気
骨粗鬆症は、骨の強度が低下することで骨がもろくなる病気です。
骨の強さは「骨密度」と「骨質」の2つで決まり、その強さに影響する割合は、一般的に骨密度が約70%、骨質が残りの約30%とされています。(文献2)
人の骨は普段から「壊す働き(骨吸収)」と「つくる働き(骨形成)」を繰り返しています。しかし、骨吸収が骨形成を上回ると骨密度が低下するメカニズムです。(文献3)
骨吸収と骨形成のバランスが崩れる主な原因は次のとおりです。(文献4)
- 加齢
- 閉経による女性ホルモンの減少
- カルシウム不足
- 運動量の低下
- ステロイド薬の長期使用
自覚症状がないまま進行することも多く、気づいたときには背骨の圧迫骨折や手首や大腿骨の骨折、腰背部痛などが生じていることもあります。
日常のちょっとした動作や軽い転倒でも骨折しやすくなるため、予防と早めの検査が大切です。骨粗鬆症の症状やセルフチェックについてより詳しく知りたい方は、以下の記事もあわせてご覧ください。
骨軟化症と骨粗鬆症の診断基準の違い
骨軟化症と骨粗鬆症は、症状が似ていても診断に用いる主な検査方法が異なります。
- 骨軟化症|血液検査とレントゲン
- 骨粗鬆症|骨密度検査
本章では、それぞれの診断方法の特徴を解説し、さらに画像検査で見られる違いについても紹介します。
受診前に「どの検査が行われるのか」を把握しておきたい方は、ぜひ参考にしてください。
骨軟化症|主に血液検査とレントゲン
骨軟化症であるかどうかを判断する際は、主に血液検査とレントゲン(X線検査)を用いた評価が行われます。
なかでも血液検査においては、以下に示すような数値の変動が診断の重要な手がかりとなるでしょう。(文献1)
- 高骨型アルカリホスファターゼ(ALP)の上昇
- リンの低下(低リン血症)
- 血中25-水酸化ビタミンDの低値(ビタミンD欠乏性骨軟化症の場合)
一方、画像検査では「Looser帯」と呼ばれる骨の小さなヒビのような像が確認されるケースも少なくありません。また、血液検査とレントゲンだけでは判断が難しい場合、必要に応じて骨生検を行い、石灰化不良の状態を直接確かめることで確定診断につなげることもあります。
骨粗鬆症|主に骨密度検査
骨粗鬆症は、骨密度測定(DXA法)を中心とした検査で、以下のいずれかに該当すると診断されます。(文献5)
- 骨密度に限らず、背骨または大腿骨の脆弱性骨折がある
- 背骨と大腿骨以外の箇所の脆弱性骨折があり、YAMが80%未満である
- 脆弱性骨折はないが、YAMが70%以下またはSD値-2.5以下である
腰椎や大腿骨付近部の骨密度を測定し、脆弱性骨折の有無を加味した上で、若年成人平均値(YAM)と比較して評価します。なお、脆弱性骨折とは、強い衝撃がなくても、日常のちょっとした動作(転倒・つまづき・尻もちなど)で起こってしまう骨折のことです。
さらに血液検査で骨形成マーカーや骨吸収マーカーなどの骨代謝マーカーを測定し、現在の骨代謝バランスを確認することもあります。
より詳しい骨粗鬆症の検査方法について知りたい方は、以下の記事もあわせてご覧ください。
骨軟化症と骨粗鬆症の違いは画像検査でもわかる
骨軟化症と骨粗鬆症は、画像検査によっても違いが顕著に現れます。
骨は、硬く石灰化した部分と、骨がつくられる前段階にある柔らかい「類骨(るいこつ)」とで構成されているのが通常です。
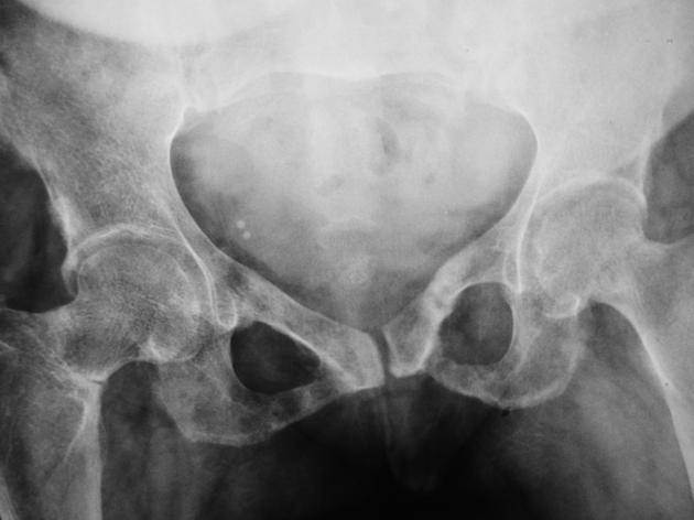
骨軟化症のレントゲン画像は以下のとおりです。

骨軟化症の画像検査では、小さな不完全骨折線(Looser’s zone)が特徴として見られます。
一方、骨粗鬆症のX線画像は、以下のとおりです。

骨粗鬆症の場合、骨の量(骨密度)が低下し、骨の内部が一部空洞の状態に陥っています。 そのためX線画像上では、次のような変化を読み取ることができるでしょう。
- 骨の網目がはっきり減る
- 骨全体の透過性が増し、画像が黒っぽく見える
レントゲン画像だけでは判断が難しい場合でも、骨密度測定や血液検査を組み合わせることで、識別診断が可能です。
骨軟化症と骨粗鬆症の治療法の違い
骨軟化症と骨粗鬆症の主な治療方法は以下のとおりです。
- 骨軟化症|原因に応じた栄養補充
- 骨粗鬆症|骨吸収と骨形成のバランスを改善
自身でも違いをあらかじめ把握しておくことは、納得して適切な治療を受けるための助けとなります。
ここからは、それぞれの具体的な治療内容について詳しく見ていきましょう。
骨軟化症|原因に応じた栄養補充がメイン
骨軟化症の治療は、原因に応じて不足している栄養素を補うことが基本です。血液検査の結果から、ビタミンDやリンを補充するケースが多く見られます。(文献6)
普段の食生活に合わせて、病院で治療薬が処方される場合も少なくありません。骨軟化症のタイプごとに不足している栄養分を補充する方法は以下のとおりです。
| 骨軟化症のタイプ | 栄養の補充方法 |
|---|---|
| ビタミンD欠乏型骨軟化症 | ・活性型ビタミンD製剤の内服 ・ビタミンDを多く含む食品の摂取 |
| 低リン血症性骨軟化症 |
・活性型ビタミンD製剤の内服 |
また、薬剤や腎疾患などが原因の場合は、原疾患の治療や原因薬剤の中止・調整が行われます。
骨痛や歩行障害が強い場合は、リハビリや鎮痛剤を併用し、日常生活の維持を目指します。
骨粗鬆症|骨吸収と骨形成のバランスを改善
骨粗鬆症の治療は、最初に食事・運動などの生活改善から始まり、必要に応じて薬物療法を組み合わせます。
骨粗鬆症治療薬には、「骨を壊す働きを抑える薬」と「骨をつくる働きを促す薬」の2種類があります。状況に応じて使い分け、骨代謝のバランスを整えます。
さらに、骨の形成を助けるためにカルシウムやビタミンDを補うこともあります。(文献5)
日常生活では、荷重運動やバランス訓練が骨強度の維持に有効であり、医師から運動療法を勧められることも少なくありません。
治療効果は定期的な骨密度検査で確認し、その結果に応じて薬や治療方針を調整します。症状がなくても定期的な受診は欠かさないようにしましょう。
骨粗鬆症の治療についてより詳しくは、以下の記事もご覧ください。
【共通】骨軟化症・骨粗鬆症を予防する生活習慣のポイント
骨軟化症と骨粗鬆症はいずれも日常生活を整えることで進行を防ぎやすくなります。今すぐできる生活習慣のポイントは、以下の2つです。
- 食事|ビタミンDとカルシウムをバランスよく摂る
- 運動|定期的に日光浴と運動を行う
これらを日常生活に取り入れ、骨の健康を守りましょう。
食事|ビタミンDとカルシウムをバランスよく摂る
骨の健康を保つためには、ビタミンDとカルシウムを日々の食事でバランスよく摂ることが大切です。これらの栄養素は、次のような食品に多く含まれています。(文献7)
| 栄養素 | 食品の例 |
|---|---|
| ビタミンD | ・魚介類(かつお、いわしなど) ・きのこ類 |
| カルシウム | ・乳製品 ・えび、かに類 |
ただし、食事だけでは必要量を満たしきれない場合もあります。補給が難しいと感じたら、医師に相談の上でサプリメント併用も検討しましょう。
骨粗鬆症の方におすすめの食事療法については、以下の記事で詳しく解説していますので、あわせてご覧ください。
運動|定期的に日光浴と運動を行う
屋外での軽い運動は、日光によるビタミンD生成と骨への適度な刺激により、骨軟化症・骨粗鬆症のどちらにも有効です。ウォーキングや軽いジョギングなど、無理のない範囲で継続してみましょう。
また、転倒予防のために、スクワットやかかと上げなどの簡単な筋トレで下半身を鍛えることも大切です。厚生労働省の報告でも、筋力トレーニングが高齢者の転倒・骨折リスクの低減につながると示されています。(文献8)
このように、一見無関係に見えても日光浴や運動は骨の健康に深く関連します。ただし、骨軟化症の方は骨が柔らかくなっているため、足腰に強い負担をかける運動は控えることが大切です。
無理のない範囲で、ウォーキングなど続けやすい運動から取り入れてみてください。
骨粗鬆症の運動療法については以下の記事にて詳しく解説しています。こちらも参考にしてみてください。
骨軟化症と骨粗鬆症の違いを理解して適切な治療や対策をしよう
骨軟化症と骨粗鬆症はいずれも骨が弱くなる病気ですが、特徴の違いから症状や治療法は異なります。
いずれの診断を受けた際も、早期発見と適切な治療が重要です。「自分はどちらに当てはまるのか」「症状が当てはまるかもしれない」と感じたら、早めに専門医へ相談しましょう。
また、骨が弱くなると膝や股関節の痛みや歩きにくさなど、関節に症状が現れるケースも少なくありません。
当院「リペアセルクリニック」では、このような慢性的な関節痛や機能低下に対し、自己細胞を用いた再生医療による改善サポートを行っています。
現在、公式LINEにて簡易診断や無料相談が可能です。「手術は避けたい」「根本的に痛みを改善したい」という方は、以下のリンクからご登録の上、お気軽にご相談ください。
\無料オンライン診断実施中!/
骨軟化症と骨粗鬆症に関するよくある質問
骨軟化症とくる病の違いは何ですか?
くる病と骨軟化症の最も大きな違いは、発症する年齢と骨の成長段階です。
「くる病」は骨の成長期にある小児に起こる病気で、「骨軟化症」は成長期が終了した成人に見られます。(文献1)
どちらの病気も、骨が十分に硬くならないという点では同じ仕組みで起こります。年代によって呼び方が変わるものの、基本的には共通したメカニズムの病気と理解するとわかりやすいでしょう。
骨軟化症と骨粗鬆症は同時に起こることがありますか?
骨軟化症と骨粗鬆症は原因やメカニズムが異なる病気ですが、同時に起こることもあります。とくに高齢者や腎機能障害のある方では、栄養不良や骨代謝の乱れが重なることで、併発した症例が報告されています。(文献9)
両者が重なると骨折リスクがさらに高まり、腰椎の圧迫骨折や大腿骨近位部骨折につながることも少なくありません。気になる症状がある場合は、早めに詳しい検査を受け、専門医による総合的な評価を受けるようにしましょう。
参考文献
(文献1)
骨軟化症|一般の皆様へ|一般社団法人 日本内分泌学会
(文献2)
骨粗鬆症とは>どんな病気?>なったらどうなる|公益財団法人 骨粗鬆症財団
(文献3)
骨粗鬆症(こつそしょうしょう)|厚生労働省 健康日本21アクション支援システム
(文献4)
骨粗鬆症とは>どんな病気?>どんな人がなりやすい|公益財団法人 骨粗鬆症財団
(文献5)
骨粗鬆症の 予防と治療ガイドライン 2025 年版|骨粗鬆症の予防と治療ガイドライン作成委員会
(文献6)
ビタミンD抵抗性くる病/骨軟化症(指定難病238)|公益財団法人 難病医学研究財団/難病情報センター
(文献7)
日本食品標準成分表(八訂)増補2023年|文部科学省
関連する症例紹介
-

リペア幹細胞プラス【分化誘導】 痛み10段階中9が3に!人工関節を回避して孫と歩きたい!両変形性股関節症 60代 女性
-

リペア幹細胞プラス【分化誘導】 痛み10段階中2が0に!人工関節手術を回避できた!右変形性股関節症 60代 女性
-

リペア幹細胞プラス【分化誘導】 痛み10段階中6が1に!テニス復帰も夢じゃない! 両変形性ひざ関節症 60代 女性
-

“リペア幹細胞” 痛み10段階中2が0に!ゴルフ講師復帰を果たした!右肩腱板損傷 70代 男性
-

“リペア幹細胞” 両股関節の痛み10が0に!手術を避けて痛みのない毎日へ!両変形性股関節症 70代 女性
-

“リペア幹細胞” 2年間改善しなかったしびれが軽減!ABI検査も正常値に!閉塞性動脈硬化症・糖尿病性神経障害 50代 女性













